33 858 70 11, +48 534 560 733
33 858 70 11, +48 534 560 733
Home
Cennik
Kontakt
Galeria
-Gabinet
-Doctor Gallery
Galeria naszych prac
-Licówki ceramiczne
-Korony mosty ceramiczne
-Zabiegi korekty dziąsła
-Implantologia
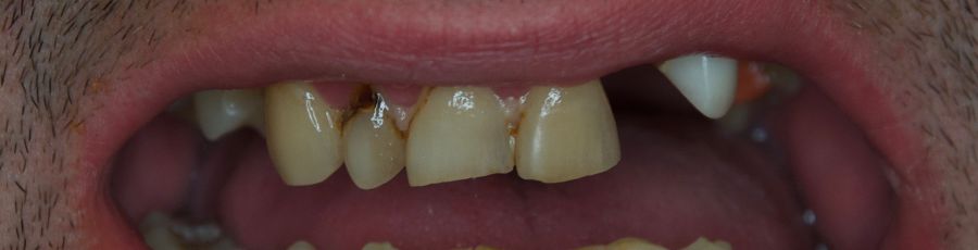
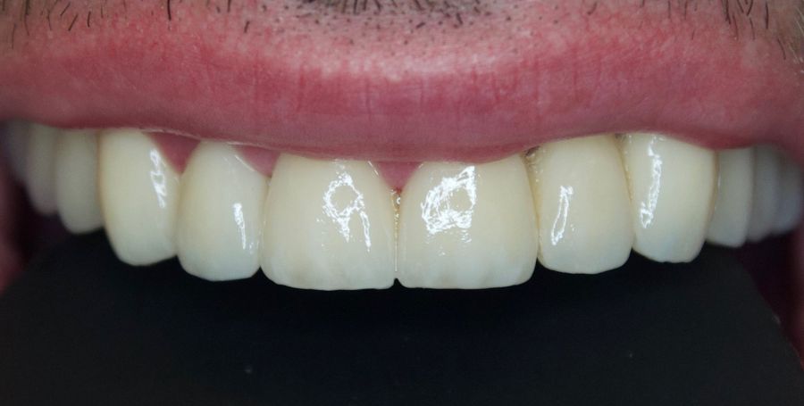
Korony mosty ceramiczne
Przed
Po
Przed
Po
Korony pełnoceramiczne
Korony pełnoceramiczne